Behandeling van gebitsslijtage
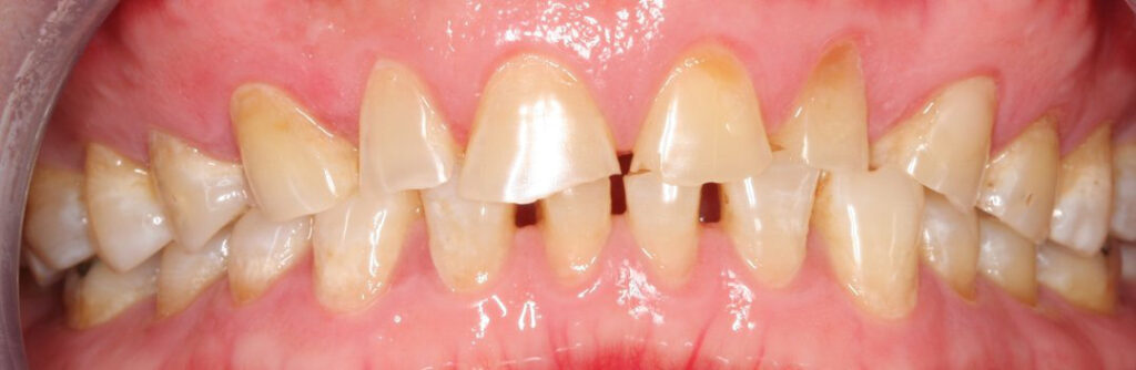
Tanden en kiezen slijten door gebruik. Dat is een natuurlijk proces. Soms gaat de gebitsslijtage te snel, daarom is er tijdens een controle altijd aandacht voor het slijten van de tanden en kiezen. Op basis van je leeftijd beoordelen wij of de slijtage normaal is op basis van je leeftijd.
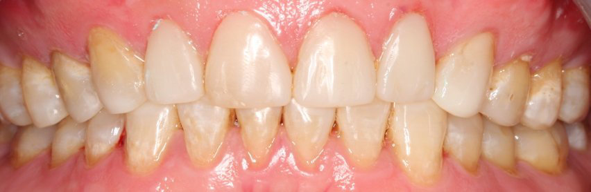
Gaat de slijtage te snel, dan is het mogelijk verstandig om actie te ondernemen. Eerst gaan we kijken welke factoren zorgen voor de slijtage en of we de oorzaak kunnen oplossen. Is de oorzaak gestopt, dan is het soms voldoende om de slijtage in de toekomst in de gaten te houden zonder verdere behandeling.




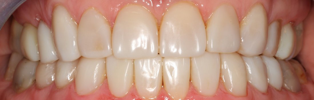
Gebitsslijtage kan ook zorgen voor een gebit dat er minder fraai uitziet, pijn, en het verloren gaan van tanden en kiezen. Om dat te voorkomen kunnen we besluiten om er wat aan te doen. Hoe we de behandeling vervolgens aanpakken bespreken we met jou om uiteindelijk tot een mooi resultaat te komen.